Contrast-Enhanced
Mammography (CEM)
We are in the business of helping others. We
offer high-quality imaging services with
state-of-the-art technology. Most
importantly, all patients will receive their
CEM exam results before they leave our
office.
Contrast-Enhanced
Mammography (CEM)
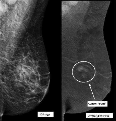
Contrast-Enhanced Mammography (CEM)
provides exceptional clarity to find breast
cancers that may not be visible in
traditional mammography. CEM may be
recommended by our breast radiologists
as a supplemental cancer screening for
elevated or high-risk patients (lifetime
risk of breast malignancy greater than
15%) or to better assess the extent of
malignancy prior to treatment. It can also
be utilized as an alternative to breast MRI
that delivers a fast, more cost-effective
diagnosis.
Contrast-Enhanced Mammography is
performed like a traditional mammogram
with the addition of intravenous contrast
- the same iodinated contrast that is used
for a CT exam. Using IV contrast helps
highlight areas of increased blood flow in
the breast, which can be a sign of cancer.
The CEM exam is performed in one of the
mammography suites by a specially
trained mammogram technologist and
takes less than 10 minutes to complete.
As contrast can affect renal function for
patients over 60, diabetic patients, and
some patients with hypertension, we will
assess their renal function prior to
scheduling.
All patients will receive their CEM exam
results before they leave our office.
COMMITTED TO
PROVIDING THE BEST
HEALTHCARE.
IMAGING FOR WOMEN
We offer high-quality imaging services
with state-of-the-art technology. Most
importantly, your results will be given to
you before you leave our office. We are
devoted to high-quality imaging services
for our patients as well as our referring
providers. We strive to create the best
experience for our patients.
Ultrasound uses sound waves to view structures
within the body in real time. Complete evaluation,
recommendations, and results are discussed with
you by our radiologists before you leave the office.
The report of your exam is issued to your healthcare
provider typically within one hour of your exam.
At Imaging for Women, our state-of-the-art
mammography unit allows you to control your own
compression, creating a gentler, often pain-free,
mammogram experience.
A bone density scan, or DEXA scan, is a simple, non-
invasive and painless exam used to measure bone
mass in areas such as your spine, hip, and wrist and
is used to detect osteoporosis.
biopsies
The results of the biopsy may take up to a week. A
consultation appointment is scheduled one week
after your biopsy exam in order to have time with
the radiologist to review all results in detail and
address questions and concerns with you.